Informationsblatt 6: Lernzirkel Station 2
Diese
Seite als PDF herunterladen
[PDF] [77 KB]
Informationsblatt 6: Lernzirkel Station 2
Zellteilung - lebenswichtig oder todbringend?
Eine alltägliche Gratwanderung
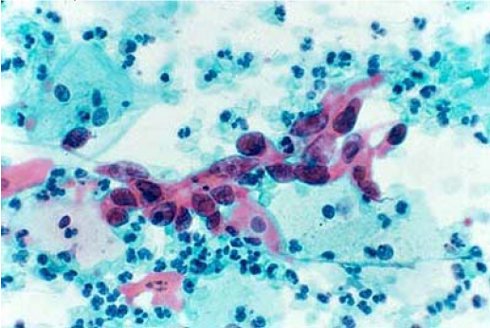
Mikroskopisches Bild normaler Schleimhautzellen des Gebärmutterhalses
Mikroskopisches Bild veränderter Schleimhautzellen des Gebärmutterhalses
Quelle:
Deutsches Krebsforschungszentrum Heidelberg, Forschungsschwerpunkt: Infektionen und Krebs, Prof. Dr. Gissmann