Zur Hauptnavigation springen [Alt]+[0] Zum Seiteninhalt springen [Alt]+[1]

Lösungshinweise zu Arbeitsblatt 7d: Apoptose

PDF Vorschau Diese Seite als PDF herunterladen [PDF] [152 KB]

Lösungshinweise zu Arbeitsblatt 7d: Apoptose

Aufgaben:

1. Nennen Sie natürliche Vorgänge in vielzelligen Organismen, bei denen der programmierte Zellselbstmord (= Apoptose) von Bedeutung ist.

  1. Gleichgewicht zwischen Zuwachs und Verlust an Zellen bei Geweberegeneration (z.B. Erneuerung von Hautzellen etwa alle 20 Tage oder der Zellen von Darmzotten alle 3-5 Tage)
  2. Entfernung funktionsuntüchtiger Zellen, die durch äußere Einflüsse (z.B. Strahlung, Chemikalien) geschädigt wurden
  3. Aussortieren von Immunzellen, die für die Abwehr von Krankheitserregern untauglich sind oder wegen Autoaggressivität körpereigene Strukturen attackieren würden
  4. Vorgänge während der Embryonal- oder Larvalentwicklung (z.B. Trennung von Fingern und Zehen beim Mensch, 70% aller Neuroblasten während der Reifung des Nervensystems bei Säugern, Einschmelzen des Schwanzes bei Kaulquappen während der Metamorphose)

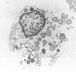
2. Welches Apoptose-Stadium hat die Zelle im rechten Bild erreicht? Begründen Sie kurz.

Zelle

Zelle während der Apoptose (Elektronenmikroskop. Bild: 11.600x Vergrößerung)

  • Zelle bereits geschrumpft (Bild oben mit stärkerer Vergrößerung)
  • Zellorganellen erscheinen dicht gepackt
  • Chromatin bildet kondensierte Bereiche an der Innenseite der Kernmembran

3. Nennen Sie Folgen, wenn Zellen nicht mehr zur Apoptose fähig sind. Erläutern Sie mögliche Ursachen hierfür.

  • Zehen oder Finger bleiben zusammengewachsen
  • Entwicklung von Autoimmunerkrankungen
  • Entwicklung eines gut- oder bösartigen Tumors

Die intra- oder extrazelluläre Initiation der Apoptose-Kaskade ist nicht mehr möglich, weil notwendige Elemente der Signalweitergabe nicht mehr funktionstüchtig sind (z.B. Zelloberflächenrezeptoren können Signalmoleküle wie den Tumor-Nekrose-Faktor nicht mehr binden).