Zur Hauptnavigation springen [Alt]+[0] Zum Seiteninhalt springen [Alt]+[1]

Membrantransport

Infobox

Diese Seite ist Teil einer Materialiensammlung zum Bildungsplan 2004: Grundlagen der Kompetenzorientierung. Bitte beachten Sie, dass der Bildungsplan fortgeschrieben wurde.


Verlauf SF Dokumente, Hinweise
2h Diagnose: Basiswissen
LV Diagnosebogen
Pfeil Praktikum Ionenfalle
  Ionenfalle
Ionenfalle Hilfe
2h

Transportmechanismen durch die Membran?

Bauchspeicheldrüse
Exocytose und Endocytose,
Membranfluss

PA/EA Arbeitsblatt Stofftransport

Folie Drüsenzelle
(Abitur 2002, Aufgabe 1)
Aufgabe Drüsenzelle

2h Anwendungsbeispiele
Transport durch Membranen
  • Magenschleimhaut
  • Aquaporin
  • Unterwasserpflanzen
EA Aufgabe Magenschleimhaut
Aufgabe Aquaporine
Aufgabe Unterwasserpflanzen
  Oder: Intelligente Übung GP Gruppenpuzzle Stofftransport


Praktikum: Die Biomembran als Barriere und Schleuse

Hauptversuch – Beobachtung

Zwiebel Zwiebel
Abbildung 1: Zellen der Zwiebelepidermis, Vakuole mit Neutralrot gefärbt
lichtmikrosk. Aufnahme, x 100
Quelle: ZPG Biologie
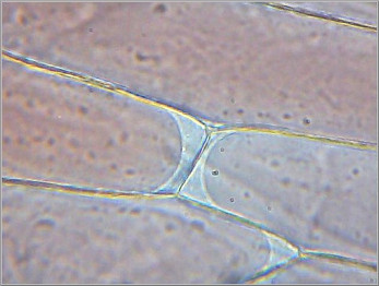
Abbildung 2: Zellen der Zwiebelepidermis, Vakuole mit Neutralrot gefärbt, Plasmakappen ohne Farbstoff
lichtmikrosk. Aufnahme, x 400
Quelle. ZPG Biologie


Verlauf SF Dokumente, Hinweise
2h Diagnose: Basiswissen
LV Diagnosebogen
Praktikum Ionenfalle
  Ionenfalle
Ionenfalle Hilfe
2h

Transportmechanismen durch die Membran?

Bauchspeicheldrüse
Exocytose und Endocytose,
Membranfluss

PA/EA

Arbeitsblatt Stofftransport

Folie Drüsenzelle
(Abitur 2002, Aufgabe 1)
Aufgabe Drüsenzelle

2h Anwendungsbeispiele
Pfeil Transport durch Membranen
  • Magenschleimhaut
  • Aquaporin
  • Unterwasserpflanzen
EA Aufgabe Magenschleimhaut
Aufgabe Aquaporine
Aufgabe Unterwasserpflanzen
  Oder: Intelligente Übung GP Gruppenpuzzle Stofftransport


Verschiedene Kontexte

1. Transport- und Stoffwechselvorgänge einer Belegzelle der Magenschleimhaut (Abitur 2007, Aufgabe IV)

2. Aquaporine als Kanalproteine für Wasser

3. Unterwasserpflanzen-Kohlendioxid aus den Ozeanen
Aquaporin Diagramm
Quelle: Markl Biologie Oberstufe © Ernst Klett Verlag Stuttgart 2011 Quelle: ZPG Biologie 2011

 

Übersicht

Membranbau


Umsetzungsbeispiele zum Thema Biomembran: Herunterladen [pdf] [916 KB]

Umsetzungsbeispiele zum Thema Biomembran: Herunterladen [pptx] [2,8 MB]